备孕太难了,什么时候毕业啊
永远见不到了
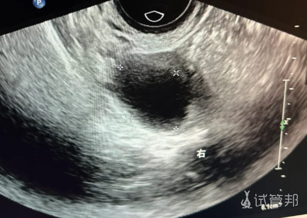
2025-03-27卵子不排,卵泡黄素化了,备孕失败
早些年我就知道自己患有多囊卵巢综合征,月经不规律。结婚后想备孕,那时候体重已经150斤了。去医院一查,多囊加上胰岛素抵抗,医生建议我先减肥再促排。
年后,看到朋友们都去减肥训练营,我也跟着去了,俩月瘦了22斤。四月,我开始尝试促排。
第一次促排,卵泡成熟后打了破卵针,我还满怀信心地去海边玩了几天,结果卵泡没排,出现卵泡黄素化了。医生让我别灰心,六月继续第二次。这次卵泡和内膜都不错,打了破卵针后我还去爬山了,结果还是没怀。
七月第3次促排,卵泡和内膜依然很好,但打了破卵针又没破。朋友们说促排3次得休息,我和老公商量后决定做个输卵管造影。结果显示两侧都通,医生建议我继续促排。

十月第4次促排,卵泡不长,打了3针尿促才长起来,换了破卵针终于排了,但还是没怀。十一月我放弃了去医院,在家喝中药颗粒监测排卵,依然没怀。
十二月我彻底放松了,月经推迟了10天自己来了。新年前我又去了医院,开始第5次促排。这次卵泡和内膜都很好,打了破卵针也排了,我甚至感觉到了着床,但排卵第11天,试纸显示还是没怀。
这次我没那么难过,只是觉得自己从没这么幸运过。但我相信,总有一天,我会等到属于我自己的宝宝。