梅毒是怎么传染的,怎么判断自己中了梅毒
梅毒是一种危害较大的性传播疾病,很多人对它既害怕又不够了解。如果不小心感染了梅毒,早期发现和治疗非常重要,否则可能对身体造成长期伤害。那么,梅毒是怎么传染的?又该如何判断自己是否感染了梅毒?下面我们就来详细解答这两个问题。以帮助大家对此有更加具体的了解。

梅毒的传染方式有哪些
1、皮肤接触传染:若存在皮膚破損,與感染者發生握手、擁抱等直接接觸可能引發感染。
2、共用物品传播:接触患者使用的毛巾、浴盆、马桶等个人卫生用品存在传播风险。
3、性行为传播:该途径为最主要感染方式,无保护性接触易导致病毒传播。
4、垂直传播:孕妇感染可通过胎盘或产道感染胎儿,导致先天性梅毒。
5、血液制品传播:输入感染者提供的血液或使用未严格检测的血制品可能造成感染。
判断自己中梅毒的方式有哪些
1、流行病学史:高危性接触或多性伴史为重要诱因。
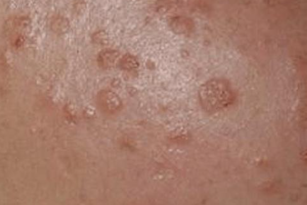
2、临床表征:一期以生殖器無痛性潰瘍(硬下疳)為特征,二期可見全身性斑疹;結合病變部位(生殖器、皮膚黏膜)進行初步判斷。
3、实验室检测:暗視野顯微鏡查見梅毒螺旋體或PCR陽性可確診;特異性抗體檢測(TPPA)陽性提示現癥感染。
4、血清学筛查:非特异性抗体试验(RPR)用于疗效评估及流行病学调查。

去医院挂什么科检查梅毒
1、皮肤科:皮肤出现脓疱、丘疹等皮损时首选,通过临床检查与特异性抗体检测明确病因。
2、妇科/泌尿科:女性生殖器红斑或男性性功能障碍时就诊,结合分泌物检测、影像学评估病变程度,暗视野显微镜可确诊。
3、性病专科:具备完整诊疗方案,适用于精准分型与系统治疗。
4、产科:孕产妇需优先选择,兼顾母体治疗与胎儿保护,提供妊娠期特异性干预方案。
“梅毒是怎么传染的,怎么判断自己中了梅毒”的相关介绍就到这里。梅毒主要通过性接触、母婴传播和血液传播,日常接触一般不会传染。判断是否感染梅毒,可以观察是否有硬下疳、全身皮疹、淋巴结肿大等症状,但最可靠的方法是去医院做血液检查。梅毒越早治療越好,如果拖到晚期,可能造成不可逆的傷害。因此,一旦有高危行為或可疑癥狀,不要猶豫,盡快就醫檢查,保護自己和家人的健康。
-
试管婴儿高成功率
点击查看
-
试管婴儿费用/流程
获取详情
-
第三代试管医院
汇总收藏
-
试管婴儿补贴
领取优惠